Precise Removal, Superior Results

Mohs Micrographic Surgery

Mohs Surgery is the most precise and effective method for removing skin cancer while preserving surrounding healthy tissue. Performed by Dr Touma and his dermatologic surgery colleagues, this procedure is particularly important for facial and recurrent tumors, and ensures complete cancer clearance, as the removed tissue is immediately checked for clear margins in the clinic, before reconstruction of the post-operative defect is expertly achieved. Mohs surgery is uniquely offered at Skin Experts Polyclinic, and offers the highest cure rate, giving our patients both peace of mind and flawless aesthetic restoration.

Why Choose Mohs Micrographic Surgery:

  • Delivers up to 99% cure rates for most skin cancers.
  • Removes cancer completely while preserving healthy surrounding skin.
  • Ideal for recurrent or aggressive skin cancers in delicate areas.
  • Minimizes scarring and enhances cosmetic outcomes.
  • Performed under local anesthesia with quick recovery.
  • Provides immediate results, reducing the need for repeat procedures.

At Skin Experts, our experienced surgeons have performed over 5,000 successful Mohs surgeries with exceptional precision and care. We ensure your treatment not only restores your health but also maintains your natural appearance—because every detail matters.



What is Mohs Micrographic Surgery?

Mohs Micrographic Surgery is a highly specialized and precise surgical technique used for the complete removal of skin cancer, especially when the tumor is recurrent or located in delicate areas such as the face, nose, eyelids, or lips.

During the procedure, the surgeon carefully removes thin layers of skin tissue one at a time and examines each layer microscopically to track and remove every trace of cancer cells. This microscopic mapping ensures that all cancerous tissue is removed while preserving as much healthy skin as possible, making Mohs surgery the most effective skin cancer treatment available today.


Am I a Good Candidate for Mohs Surgery?

You may be an ideal candidate for Mohs micrographic surgery if you have:

  • Recurrent skin cancer that has returned after previous treatment.
  • Large or aggressive tumors that are growing quickly or have unclear borders.
  • Skin cancers in sensitive or visible areas, such as the face, eyelids, nose, lips, hands, or genitals, where preserving appearance and function is essential.
  • Basal cell carcinoma (BCC) or squamous cell carcinoma (SCC) — two types of skin cancer with high cure rates through the Mohs technique.
  • Poorly defined tumor edges, making it difficult to remove the cancer completely with standard surgery.

Your overall health, the type of skin cancer, and your medical history will also help your dermatologist determine if Mohs surgery is the best option for you. A consultation with a board-certified Mohs surgeon is essential to evaluate your case and design a personalized treatment plan.


Benefits of Mohs Micrographic Surgery

  • Highest Cure Rates – Up to 99% success rate for most skin cancers.
  • Tissue Preservation – Removes only diseased tissue, keeping surrounding healthy skin intact.
  • Microscopic Precision – Cancer cells are tracked and examined during surgery for complete removal.
  • Reduced Recurrence – Significantly lowers the risk of cancer returning.
  • Immediate Results– Surgeons can confirm complete cancer removal during the same procedure.
  • Excellent Cosmetic Outcomes – Especially beneficial for facial and delicate areas.
  • Safe and Comfortable – Performed under local anesthesia, minimizing risks and recovery time.
  • Experienced Surgeons – Carried out by highly trained Mohs specialists for optimal accuracy and care.
  • Comprehensive Follow-Up – Ensures early detection of any recurrence and continued skin health monitoring.

More About the Procedure

Mohs surgery is the gold standard for precise skin cancer removal in areas where cosmetic appearance and function are critical. The process involves removing the tumor layer by layer, with each layer examined under a microscope in real-time by the surgeon. Only when all cancer cells are eliminated does the procedure conclude — ensuring maximum cure with minimal scarring.

At Skin Experts Polyclinic, our experienced dermatologic surgeons have performed over 5,000 successful Mohs surgeries for skin cancer removal and reconstruction, particularly on sensitive facial areassuch as the nose, eyelids, cheeks, and lips.

Following surgery, patients receive personalized follow-up care and are guided on preventive measures such as regular skin checks every 6–8 weeks and sun protection to reduce the risk of future skin cancers.

Why Choose Skin Experts Polyclinic for Mohs Surgery?

At Skin Experts Polyclinic, Mohs Micrographic Surgery is performed by highly skilled and certified surgeons with extensive experience in skin cancer diagnosis, removal, and reconstruction.

Our team ensures:

  • Precise tumor mapping and microscopic evaluation during the procedure.
  • Aesthetic wound repair techniques that restore natural appearance and function.
  • Comprehensive post-operative care for optimal healing and peace of mind.

With our combination of expertise, technology, and patient-centered care, we offer one of the most trusted Mohs Surgery programs for skin cancer treatment and prevention.

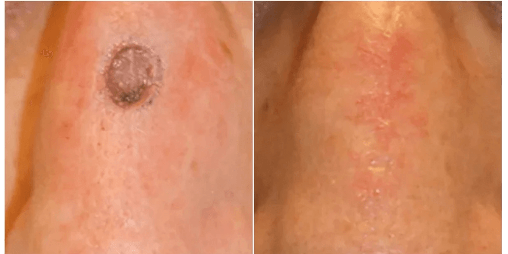
Basal Cell Carcinoma after Mohs surgery and skin graft.

Facial Rejuvination

Squamous Cell Carcinoma after Mohs surgery and skin graft

Facial Rejuvination

Defect after Mohs surgery repaired with skin flap

Facial Rejuvination

Before & After Results

Facial Rejuvination
Facial Rejuvination
Facial Rejuvination
Facial Rejuvination
Facial Rejuvination
Facial Rejuvination
Facial Rejuvination
Facial Rejuvination
Facial Rejuvination
Facial Rejuvination
Facial Rejuvination
Facial Rejuvination
Facial Rejuvination

FAQ's

Your Questions, Answered

Mohs surgery is a highly specialized technique used to remove certain types of skin cancer with maximum precision. Cancerous tissue is removed layer by layer and examined immediately under a microscope until only healthy tissue remains.

Mohs offers one of the highest cure rates for basal cell carcinoma and squamous cell carcinoma. It allows complete cancer removal while preserving as much healthy skin as possible, making it ideal for delicate or cosmetically important areas such as the face, neck, recurrent or large lesions.

Mohs is commonly used for:

  • Basal cell carcinoma
  • Squamous cell carcinoma
  • Melanoma
  • Recurrent or aggressive tumors
  • Cancers located on the face, ears, nose, lips, eyelids, scalp, hands, or feet

we will determine if Mohs is the most appropriate option.

The procedure is done in stages. A thin layer of tissue is removed and examined immediately. If cancer cells remain, another layer is taken from the exact area where they persist. This process continues until the margins are clear.

Most Mohs surgeries take several hours. The duration depends on how many layers need to be removed and examined. Patients remain comfortable throughout the process.

Yes. Mohs surgery is performed under local anesthesia, allowing you to stay awake and comfortable without the risks of general anesthesia.

Once the area is cancer free, the wound is repaired. Depending on the size and location, this may involve simple closure, skin flaps, or grafts. The goal is to achieve the best functional and cosmetic outcome.

Most patients experience mild swelling or discomfort for a few days. Your surgeon will provide detailed aftercare instructions to support proper healing.

As with any procedure, there are potential risks such as bleeding, infection, or scarring. Mohs minimizes these risks by preserving healthy tissue and ensuring complete cancer removal.

Mohs surgery has cure rates up to 99% for certain skin cancers when performed for the first time. Its precision makes it one of the most effective treatments available.

You may be a candidate if your skin cancer is in a sensitive area, has unclear borders, is aggressive, or has returned after previous treatment.

Dr Touma and his team at skinexperts polyclinic have performed over 7000 cases and reconstructions, they are equipped with the stake-of-the art lab for immediate cancer tissue proccing and are known for their expert care and excellent surgical results.