Restore Function. Renew Confidence. Redefine Your Smile.

Crowns & Dental Bridges

Rediscover your smile with expertly crafted Dental Crowns and Bridges at Skin Experts Polyclinic — designed to restore damaged or missing teeth with strength, precision, and a natural look that blends seamlessly with your existing smile.

Why Choose Crowns & Dental Bridges:

  • Restore full chewing and speaking ability.
  • Strengthen and protect weakened or root-treated teeth.
  • Replace missing teeth with durable, natural-looking restorations.
  • Prevent surrounding teeth from shifting or misaligning.
  • Enhance smile aesthetics and boost confidence.
  • Custom-made to match your teeth’s color and shape perfectly.
  • Long-lasting and resistant to daily wear.
  • Performed by skilled specialists using advanced dental techniques.

At Skin Experts Polyclinic, specialists Prof. Ziad Salame and Dr. Karim Corbani ensure every crown and bridge delivers exceptional comfort, function, and beauty. From ceramic and zirconia crowns to precision-fitted dental bridges and crown lengthening procedures, our team restores your oral health and smile with expert precision and long-lasting results.



What Are Crowns & Dental Bridges?

Dental crowns are custom-made caps that cover damaged or weakened teeth, restoring their shape, strength, and appearance. Dental bridges replace one or more missing teeth using neighboring teeth or implants for support. Together, they restore chewing function, maintain alignment, and enhance the natural look of your smile.


Am I a Good Candidate?

You may be a good candidate if you:

  • Have a cracked, broken, or severely decayed tooth.
  • Need protection for a tooth after root canal treatment.
  • Have missing teeth affecting your bite or smile.
  • Experience pain or discomfort from weakened teeth.
  • Want to improve stained, chipped, or uneven teeth.
  • Have healthy gums and surrounding teeth for support.

Benefits of Crowns & Bridges

  • Restore proper bite, speech, and chewing ability.
  • Protect and strengthen damaged or treated teeth.
  • Prevent teeth from shifting into empty spaces.
  • Provide a natural, seamless smile enhancement.
  • Durable and long-lasting with proper care.
  • Custom-made for perfect color and shape matching.
  • Boost confidence and improve overall oral function.

More About Crowns & Dental Bridges

Crowns are ideal for restoring broken or root canal-treated teeth, while bridges effectively replace one or two missing teeth to maintain dental balance. Materials like ceramic and zirconia ensure strength and aesthetics. For cases involving decay below the gum line, crown lengthening may be performed to create proper space for restoration.

At Skin Experts Polyclinic, Prof. Ziad Salame and Dr. Karim Corbani deliver precision-crafted crowns and bridges that restore full dental function and a confident, natural smile.

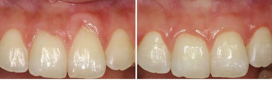
Before & After Results

Crown and Dental Bridge
Crown and Dental Bridge
Crown and Dental Bridge